Benvenuti a Podologia ed Ortopedia del Cavallo

Dal 1980, il Dott. Sergio Forapani e il suo team si dedicano alla salute e al benessere degli equini, offrendo diagnosi avanzate tramite radiologia ed ecografia. La nostra lunga esperienza ci ha consolidato come un punto di riferimento nel settore veterinario equino, garantendo interventi precisi e tempestivi.

Servizi Offerti:

VISITA ORTOPEDICA

Visita specialistica: Valutazione patologie ortopediche dando grande importanza all'approccio clinico.

PODOLOGIA EQUINA

Gestione delle patologie del piede: Garantiscono una corretta postura, corretta locomozione e il benessere degli zoccoli e dell'animale in toto.

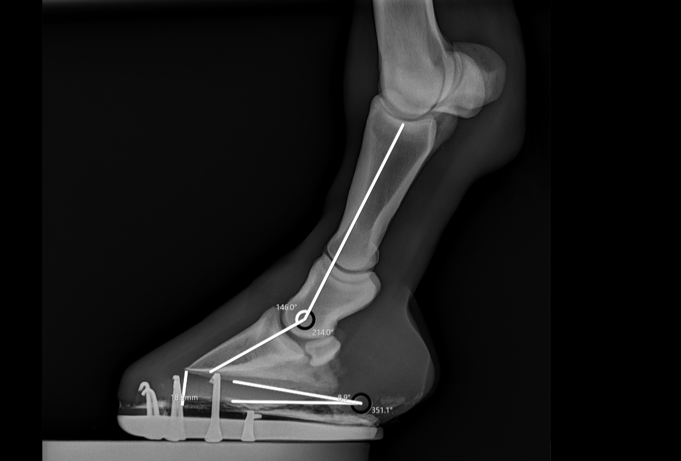
RADIOLOGIA ED ECOGRAFIA

Esami diagnostici avanzati per il benessere del tuo cavallo: radiologia ed ecografia per diagnosi precise e tempestive.

VISITA DI COMPRAVENDITA

Visita specialistica: Valutazione patologie ortopediche dando grande importanza all'approccio clinico.

CHIRURGIA DEL PIEDE

Interventi chirurgici specializzati per la salute del piede del cavallo, mirati al trattamento di patologie complesse e alla riabilitazione per un recupero completo.

Domande frequenti - F.A.Q.

Quali sono i benefici delle terapie biomeccaniche?

Le terapie biomeccaniche migliorano la postura e il benessere degli zoccoli, garantendo una corretta andatura e prevenendo problemi futuri.

Quanto dura una visita specialistica?

La durata di una visita specialistica dipende dalle necessità del cavallo, dalle difficoltà gestionali ed interpretative, dalla necessità di eseguire esami complementari ma in genere dura circa un'ora.

Quali sono i trattamenti ortopedici offerti per i cavalli?

Offriamo una vasta gamma di trattamenti ortopedici, inclusi interventi chirurgici, terapie fisiche, e riabilitazione per problemi muscolo-scheletrici. La nostra esperienza ci permette di affrontare disturbi articolari, tendinei e ossei con soluzioni mirate e personalizzate per ogni cavallo.

Come posso sapere se il mio cavallo ha bisogno di un esame radiologico?

Gli esami radiologici sono indicati quando ci sono sospetti di fratture, malformazioni ossee o problematiche articolari. Se il tuo cavallo mostra zoppia persistente, dolore localizzato o difficoltà nei movimenti, una radiografia può fornire una diagnosi precisa per un trattamento adeguato.

Che tipo di ecografia eseguite per i cavalli?

Eseguiamo ecografie per diagnosticare condizioni legate a muscoli, tendini e legamenti, oltre a monitorare la salute degli organi interni, come il cuore e i polmoni. Le ecografie sono fondamentali per una valutazione non invasiva e accurata delle strutture interne del cavallo.

Come avviene una visita specialistica per il mio cavallo?

La visita specialistica inizia con una valutazione completa della salute del cavallo, comprendente un esame fisico, la raccolta della sua storia clinica e l’analisi di eventuali sintomi. A seconda dei risultati, potremmo consigliare esami supplementari come radiografie, ecografie o analisi del sangue per una diagnosi più precisa.

Cosa include il servizio di riabilitazione per cavalli?

Il nostro servizio di riabilitazione è pensato per aiutare i cavalli a recuperare da infortuni, interventi chirurgici o condizioni croniche. Include trattamenti fisici come massaggi, terapie laser, esercizi di stretching, e programmi di rafforzamento muscolare personalizzati.

Il mio cavallo può essere trattato senza anestesia?

In molti casi, i trattamenti come ecografie, radiografie e terapie biomeccaniche non richiedono anestesia. Tuttavia, se sono necessari interventi chirurgici o trattamenti invasivi, l’anestesia viene somministrata con la massima attenzione alla sicurezza del cavallo.

Quali sono i vantaggi delle terapie biomeccaniche?

Le terapie biomeccaniche aiutano a migliorare la postura e l'andatura del cavallo, alleviando il dolore muscolare e articolare. Questi trattamenti contribuiscono a prevenire futuri problemi di locomozione e a mantenere un buon stato di salute generale per il cavallo.

Sono estremamente soddisfatto del trattamento ricevuto per il mio cavallo. Il personale è altamente competente e professionale, sempre attento e premuroso. Lo consiglio vivamente!